Why Do People Need Braces
Why Do People Need Braces. People benefit from braces to correct many different types of problems. Some people's adult teeth grow in at the right angle and with the right spacing.

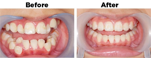
Why do some people need braces and others don’t? Braces have helped millions of people achieve a better smile and improve their oral health, and you might also be a good candidate. Dental braces are used to straighten crooked teeth, align upper and lower jaws, improve the aesthetics of smiles and faces, and relieve pressure on temporomandibular joints.
Pretty Much Everyone Sees The Allure Of Beautifully Straight Teeth And A Healthy Bite.
In most cases, braces can effectively correct a troublesome overbite; Make keeping teeth clean more of a challenge, increasing the risk of tooth decay, cavities, and gum disease. Crooked or malaligned teeth are not the only reason why braces are helpful.
Many People Decide To Get Braces To Correct Aesthetic And/Or Comfort Issues Relating To An Overbite.
The main reason would be to correct misaligned teeth and jaw alignment problems. A common part of the braces process is wearing dental elastics, otherwise referred to simply as rubber bands.braces play a vital role in the alignment of the teeth and jaw. Depending on your specific condition, braces may be the best option for your oral health and cosmetic appearance.
However, In Rare Instances, Surgery May Be Necessary.
In most of the cases, it is a true medical need for braces. Poor nutrition during the infant and toddler stage, poor dental hygiene, and genetics are all reasons why children (and adults) may end. One or two wonky teeth gives a bit of character to a face.
Why Do People Need Braces?
When it comes to orthodontics as a whole, the benefits of braces are not just for looks—in fact, proper orthodontic treatment can improve your child or teenager's bite and can help improve their speech. Many times the real reason for braces is a problem that is not easily seen other than by a qualified orthodontist. People benefit from braces to correct many different types of problems.
Malocclusion Is Used To Describe The Misalignment Of Teeth Between The Upper And Lower Dental Arches, Using The First Molars As A Reference Point.
Strain the teeth, jaws, and muscles, increasing the risk of breaking a tooth. According to the national institutes of health, most misaligned bites (technically known as malocclusions) are so minor that they do not require treatment. Braces have helped millions of people achieve a better smile and improve their oral health, and you might also be a good candidate.
Post a Comment for "Why Do People Need Braces"